Home > 科学资讯
2025-08-18
返回列表
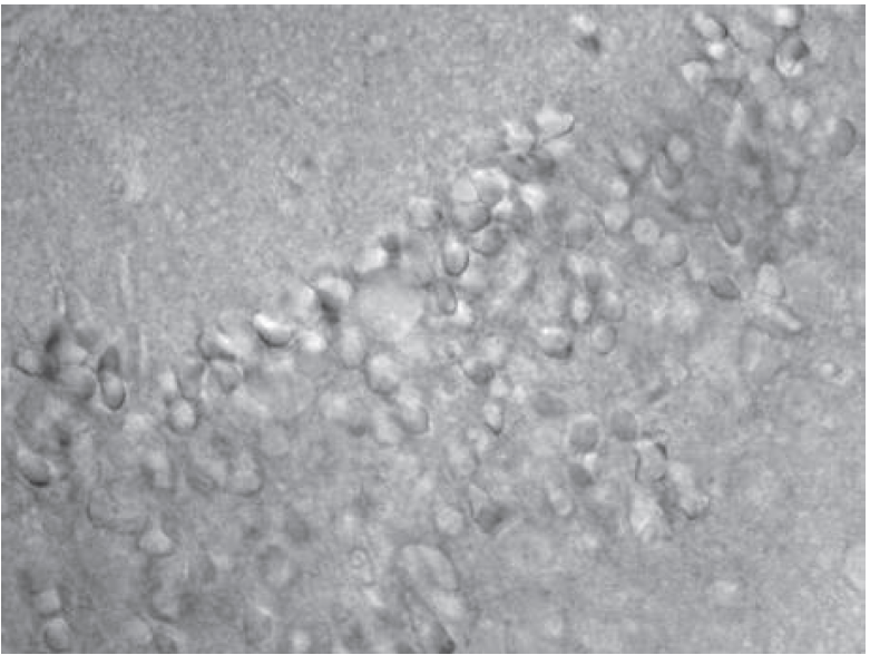
膜片钳电生理是神经科学与细胞生理学中一项核心技术,用于研究细胞的电学特性。本实验指南旨在为科研人员提供对膜片钳技术、应用及实验流程的全面理解。正如图 1 所示,小鼠急性脑切片中的健康海马神经元(圆润饱满的细胞)是理想的膜片钳记录对象。我们希望通过专业的实验支持与服务,帮助您获得清晰、健康的急性脑切片,从而顺利开展膜片钳实验。

小鼠急性脑切片中活体海马神经元的显微图像。圆润饱满的神经元被标注为理想的膜片钳记录候选细胞。本指南的目标之一是帮助研究人员制备出健康的脑切片并选择合适的记录对象。
在细胞和神经科学研究领域,科学家们发展了多种方法来理解细胞如何沟通和运作。膜片钳电生理就是其中一项关键技术。它能够直接测量单个细胞的离子电流,帮助研究者深入探讨细胞——尤其是神经元——如何对不同刺激作出反应,以及它们与微环境之间的相互作用。
尽管钙成像或电压敏感染料等方法也推动了我们对细胞活动的理解,但这些方法通常缺乏膜片钳所具备的精确性与直接测量能力。膜片钳电生理弥补了传统电生理记录与复杂细胞行为研究之间的空白,是神经科学中不可替代的工具。
膜片钳实验通常从 急性脑切片的制备 开始。随后包括以下关键步骤:
通过这种方法,科研人员不仅能够在实时状态下更好地理解神经元的工作原理,还可以通过单细胞或小群体水平的数据,减少对大量动物实验的依赖。
星智云开希望通过此指南与服务,帮助不同阶段的科研人员顺利掌握膜片钳电生理:
本指南被设计为覆盖各层次科研人员的综合资源。无论您是初学者、资深科学家、科研导师,还是对膜片钳充满好奇的学者,星智云开都能为您提供实用的支持与指导,助力您更深入地理解并应用这一强大的技术。
在这一过程中,星智云开为科研人员提供全方位的支持:
我们的目标是协助您更高效、更系统地掌握膜片钳电生理方法,并推动您的神经科学研究取得突破。
Acute Brain Slice Guide. Precisionary.com