logo

组织病理学服务

Home > 组织病理学服务

常规组织学服务

我们提供全套的常规组织学染色服务,从经典的H&E到多种特殊染色方法,帮助科研人员深入解析组织结构、细胞特征和病理变化。所有染色结果均配合高质量切片制备,确保数据的可靠性和一致性。

HE染色

HE染色

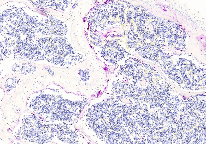
番红固绿染色

番红固绿染色(软骨组织)

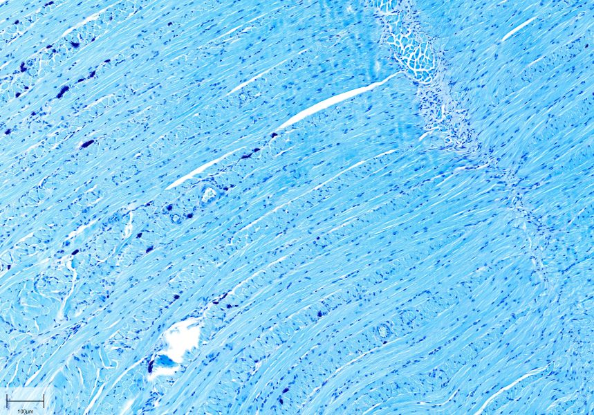
Masson染色

Masson染色

天狼星红染色

天狼星红染色

VG染色

VG染色

PAS染色

PAS染色

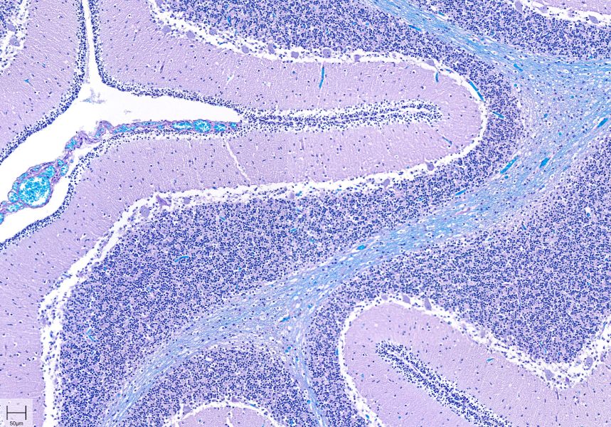
阿利新蓝染色

阿利新蓝(AB)染色

AB-PAS染色

AB-PAS染色

β-galactosidase染色

β-galactosidase染色

油红O染色

油红O染色

甲苯胺蓝染色

甲苯胺蓝染色

肥大细胞染色

肥大细胞染色

尼氏染色

尼氏染色

LFB染色

LFB染色

普鲁士蓝染色

普鲁士蓝染色

维多利亚兰染色

维多利亚兰染色

瑞氏-吉姆萨染色

瑞氏-吉姆萨染色

茜素红染色

茜素红染色

刚果红染色

刚果红染色

银染色

银染色

EVG染色

EVG染色

TRAP染色

TRAP染色

WGA染色

WGA染色

酶染色

酶染色

硫黄素S染色

硫黄素S染色

胚胎鼠双标染色

胚胎鼠茜素红-阿利新兰双标染色

上一篇:组织病理学平台简介

下一篇:已经没有了

Have a project in mind? Contact us anytime!

返回顶部